全站搜尋 電子雜誌搜尋

AD

Apr. 19 2018

人體又有新器官?科學家為何現在才發現呢

  • 人體又有新器官?科學家為何現在才發現呢

    人體又有新器官?科學家為何現在才發現呢

1

科學家發現位於皮膚之下,以及其他器官之間的「間質」(interstitium),對間質的研究最終或許能促進疾病治療。

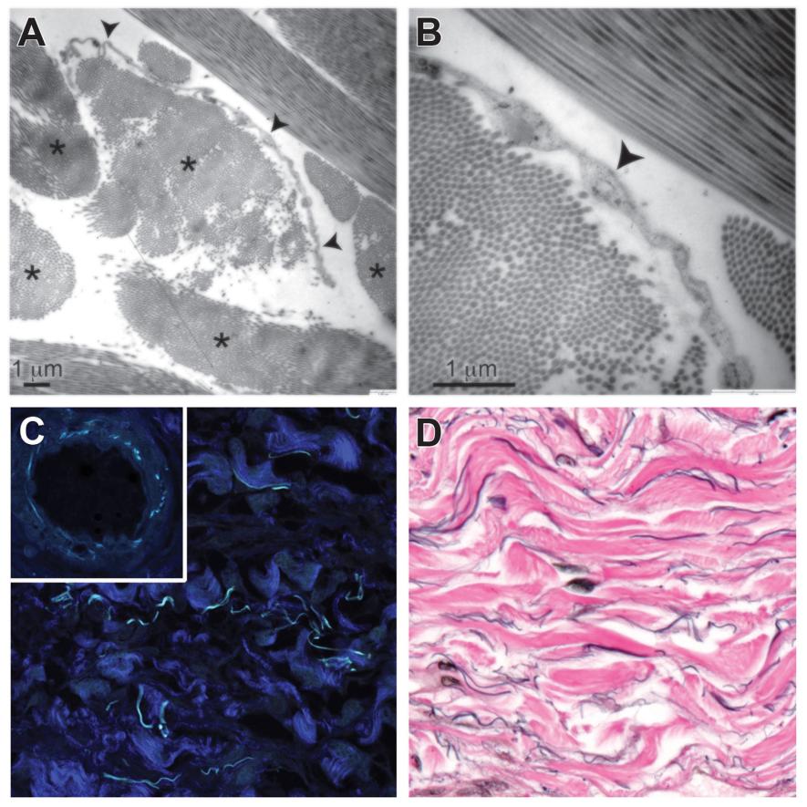
間質的膠原蛋白束以星號標記(上圖左);箭頭指向其中一個細胞(上圖右);深藍色的是膠原蛋白束,而淺藍色的則可能是彈性蛋白(下圖左);染成黑色的彈性蛋白纖維沿著染成粉紅色的膠原蛋白束(下圖右)。
PHOTOGRAPH BY NEIL THEISE AND DAVID CARR-LOCKE, SCIENTIFIC REPORTS

科學團隊表示,就在你的皮膚之下,可能潛藏著一個近日才鑑別出來的新器官。紐約大學醫學院研究團隊在一份刊登於《科學報告》期刊的新研究提及,他們發現了一種稱為「間質」的新器官。

這個新器官幾乎無所不在:在皮膚之下、圍繞著動脈與靜脈、包裹著肌肉之間的纖維組織、鋪襯著我們的消化道、肺臟與泌尿系統。

間質看起來就像一張網,由許多充滿液體的腔室經由膠原蛋白與彈性蛋白構成的網相連而成。科學家原先認為這層網狀物只是單純的緻密結締組織。

而這個器官,似乎就在眾目睽睽之下隱身了許久。科學家解釋說,過去之所以忽略了這個器官,問題出在研究方法上。在以顯微鏡檢視樣本之前,樣本會先經過切片與化學處理等手續,使科學家更容易鑑別出那些關鍵的特徵。但儘管這些步驟有利於呈現細節,但卻會讓樣本脫水。樣本一旦失去水分,整個腔室就會塌陷,就像是好幾層樓的房子突然倒塌一般,整個結構會摺疊成像美式鬆餅那樣。

為了找到這些儲有間質液體的囊室,醫學研究人員著手觀察活組織,而非已經死亡的組織標本。他們採取稱為共軛焦雷射顯微內視鏡(confocal laser endomicroscopy)的探測技術,以微型攝影探頭達成人體顯微內視。內視鏡會以雷射照射組織,然後再以感應器去分析反射回來的螢光圖樣。

意外的發現

科學家是在觀察膽管的時候才首次注意到間質的腔室。原先他們以為這可能不過是緻密組織的裂口,後來這些影像來到了尼爾.泰伊斯(Neil Theise)的手上,他是紐約大學醫學院教授與本篇研究的作者。

他指出,人體大約有七成是水,而這七成中又有三分之二儲存在細胞之中,至於其餘的三分之一據泰伊斯說,所知有限。「現在我們討論的,正是尚未被探討過的那些其餘的細胞外液。」

除了能說明其餘的體液下落之外,這些腔室或許還能解釋其他重要的功能。泰伊斯說:「就像避震器一般,並非由堅硬的材質構成。」

根據泰伊斯的理論,間質的功能在於提供淋巴來源,這種在全身淋巴系統中流淌的體液維持我們的免疫力。泰伊斯說,發現疾病如何透過身體的這部分來散播,有助於研究人員深入釐清癌症如何擴散。

泰伊斯進一步提問:「我們能透過檢測間質內含的體液來提早發現疾病嗎?我們能破解機制進而阻斷疾病擴散嗎?」

前景與懷疑

同樣投身於體液研究的維吉尼亞理工學院生醫工程師珍妮佛.蒙森(Jennifer Munson),雖然並未參與此次研究,不過仍相當看好這項研究的前景。

蒙森表示:「我想這篇論文呈現的重點在於,以新方法觀察與拍攝組織的優點何在。將組織乾燥的老方法,確實會讓我們失去許多結構的資訊。」

蒙森說,她完全相信這些結構存在,不過在推測其功能前,仍然希望能看到更多研究,以及稱呼其為一個新「器官」是否準確。

蒙森補充了幾句:「我對這項發現真的感到非常興奮,不過就像所有科學家一樣,對所有事物依然保持一點懷疑。」

泰伊斯表示,他很清楚有許多懷疑的聲音圍繞著他的新發現,不過他仍無所畏懼地踏入這個領域。在2005年,他在《自然》期刊發了篇文章挑戰「細胞學說」的重要性(這個學說主張細胞是所有生命最基本的單位)1編注:作者之所以提出這個觀點,是因為「細胞是所有生命的最基本構成單位」這個命題,在不同尺度下可能會不成立。他舉螞蟻當例子,當我們站遠一點看,地上黑漆漆的蟻群看起來就像一整團會移動的東西;靠近一點看,就可以看出來整個蟻群是由一隻隻忙碌的小螞蟻自發性組成的群體;再用更細微的尺度去看,個別的螞蟻又化成了一大群細胞。同樣地,在奈米尺度下,細胞可能就不能再視為生命基本組成單位了。;而在2001年他也曾發表論文,提及可以讓成體幹細胞表現出與胚胎幹細胞相似的反應。2編注:胚胎幹細胞的爭議,在於分離、培養胚胎幹細胞,某種程度上一定會傷害胚胎(或是殺死胚胎),這在倫理上是不可行的,因為等於扼殺了「某一個還未發育成人類的人」。這篇文章的重要性,在於發現成體幹細胞(人體內的幹細胞)有可能取代胚胎幹細胞,這樣既能達成相似的醫療效果,又能避開前述的倫理問題。

泰伊斯補述道:「總是會遇到不曾看過的未知事物,我對自然比我們以為的還要複雜深感敬畏。」

撰文:Sarah Gibbens

翻譯:曾柏諺

延伸閱讀>>動物身上的七種獨特器官 / 幹細胞新療法有一天可能治癒第一型糖尿病

JAN. 2026

破解失傳的古代文字

一場橫跨考古學、語文學與AI應用的解碼競賽

破解失傳的古代文字

AD

熱門精選

AD

AD

Subscribe
立即訂閱
keyboard_arrow_up